Articles in press

Case Report

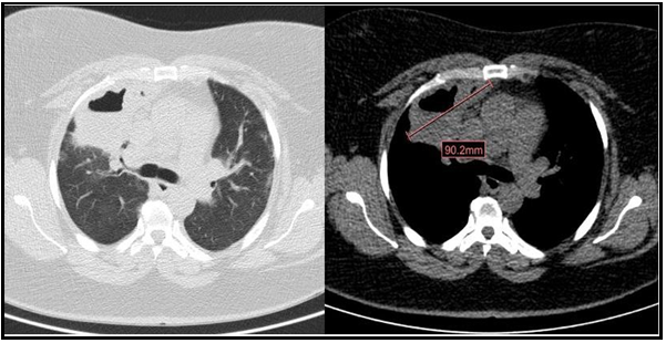
Lung cavitations in SARS-CoV-2 infection: A Case report

Volume : 3 Issue : 10

Corresponding Author: Raquel Morillo Guerrero
Journal of Medical Case Reports and Case Series ( ISSN 2692-9880 )

Case Report

Bookshelver’s Tendinopathy in the Time of COVID-19 – Flexor Carpi Ulnaris Tendinopathy in a Librarian: A Case report

Volume : 3 Issue : 10

Corresponding Author: Brian M. Malave, BA
Journal of Medical Case Reports and Case Series ( ISSN 2692-9880 )

Case Report

Pill Pneumonitis Induced By Pill Aspiration: A Case Report, Diagnosis and Management

Volume : 3 Issue : 10

Corresponding Author: Swarada Yadav
Journal of Medical Case Reports and Case Series ( ISSN 2692-9880 )

Case Report

Rasmussen Encephalitis: A Case Report

Volume : 3 Issue : 10

Corresponding Author: Devraj Kandel
Journal of Medical Case Reports and Case Series ( ISSN 2692-9880 )

Subscribe to our Newsletter

Enter your e-mail address to stay informed about published articles, issue releases and latest updates on journal activities.

Quick Links

Open Access Policy
Publication Ethics and Malpractice Statement
Conflicts of Interest
Plagiarism Policy
Copyright Information
Licensing Policy
Withdrawal/Retraction Policy
Advertising Policy
Peer review Policy
Policies On Animal & Human Rights
Privacy Policy, Terms & Conditions
Complaint Policy
Archiving Policy
About Us
Recent Articles

Relationship Between Positive Attitudes And Psychological Well-Being In The Colombian Work Context: Application Of The Ryff Scale

Perceived Gender Inequality Among Female Emerging Adults In Kigamboni, Tanzania: An Interpretive Phenomenological Study

The Continuing Trend Of Sodium Nitrite Suicides: A Case Series And Brief Literature Review To Guide Diagnosis

Adjunctive High-Frequency Vibration For Aligner Seating Efficiency: A Narrative And Systematic Review

A Rare Case Of Facial Palsy In A Patient With Minor Facial Trauma: A Case Report

Stickler Syndrome Affecting Bangladeshi Family: A Case Report

Adjunctive Vibration In Fixed Orthodontics: Frequency-Dependent Effects – A Systematic Review And Narrative Synthesis

Adjunctive Vibration In Orthodontics (Animals/Preclinical): Mechanisms And Translational Signal – A Meta-Analysis And Systematic Review

Adjunctive Vibration In Clear Aligner Therapy: Evidence For A Context-Specific Effect With A Meta- Analysis And Systematic Review

Strengthening Evidence Based Management Of Sickle Cell Disease In A Control Programme By Setting Up Registries, Screening Services And Strengthening The Specialized Clinics In Five Pilot Counties Of Western Kenya


FeedBack

We openly welcome feedback and constructive criticism. Your compliments, concerns and suggestions regarding our services will prove enormously helpful in making them even better.

Do you have an idea or suggestion that can influence the Open Access community? Send an email to: info@acquaintjournals.info

Notice Board

CALL FOR PAPER

VOLUME 5

ISSUE 6

Journal of Medical Case Reports and Case series [JMCRCS]- [2692-9880]


Journal of Community Medicine and Public Health Reports [JCMPHR] ISSN: 2692-9899

Greetings!

Acquaint is a raised area of choice for an international community of research scholars to share their work with the global scientific community without any restrictions. We maintain superior integrity and scientific relationships with authors, researchers, and academicians. We encourage authors from every corner of the globe to submit their articles.

Our journals offer a critical stage for the universal logical community to talk and share data while publicizing research discoveries globally. Our journals include many subjects in tremendous areas that permit the researchers to publish through the open-access model. We welcome all academicians and researchers to submit their work for publication.

We welcome all academicians and analysts to submit their work for publication in our journals.

To visit our journals, click here.

The last Date for Article Submission is 31 December 2024.

Online Publication Date: within 3-4 working days upon acceptance.

For collaborations/memberships/discounts/waivers, please get in touch with us at: info@acquaintjournals.info